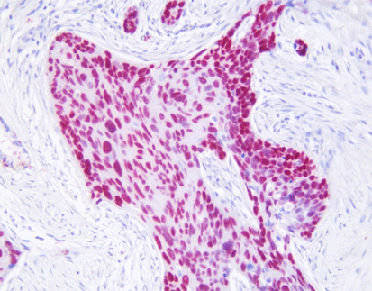
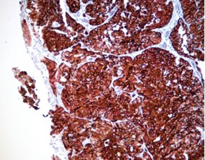
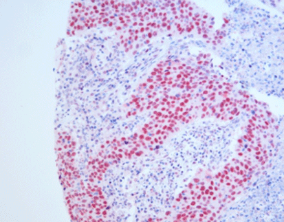
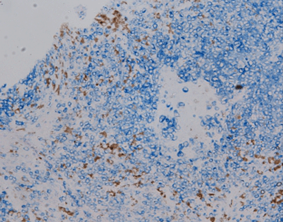
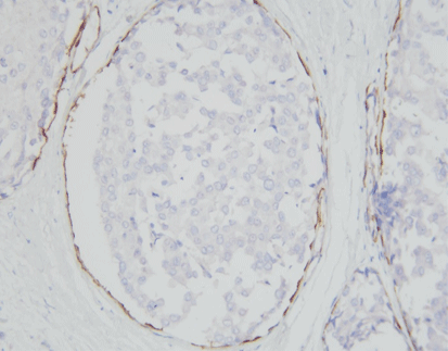
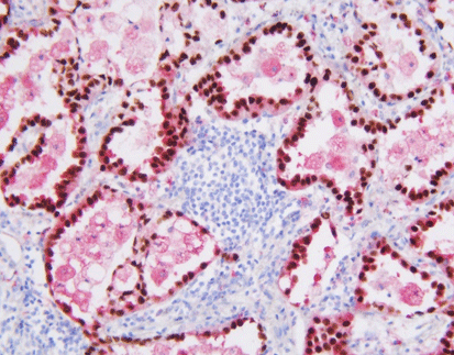
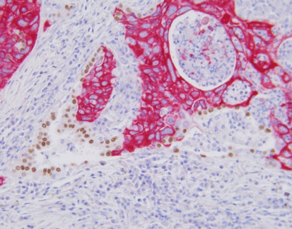
MULTIPLEX IHC

top