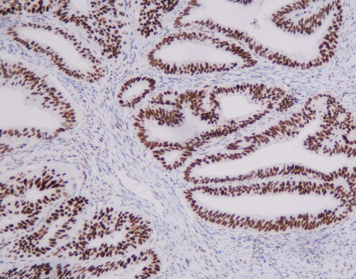
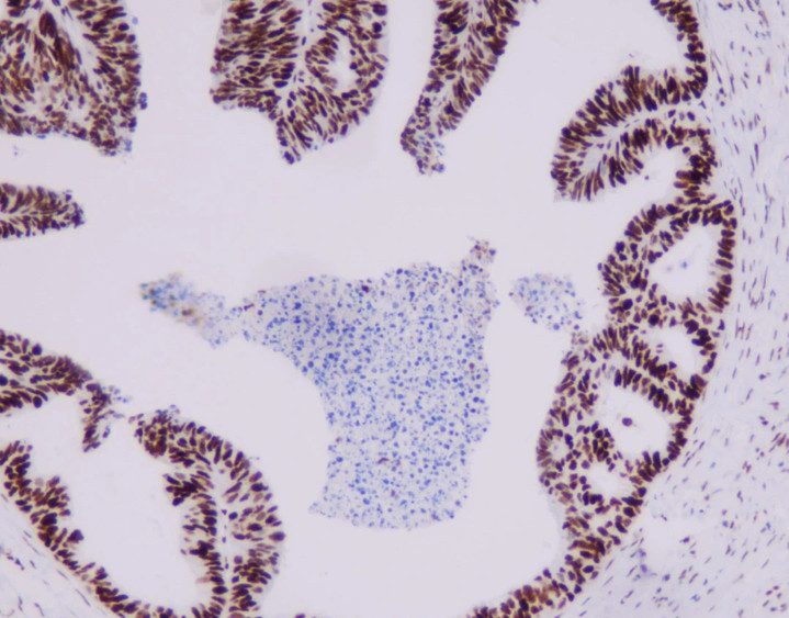
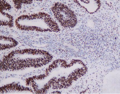
MMR

top