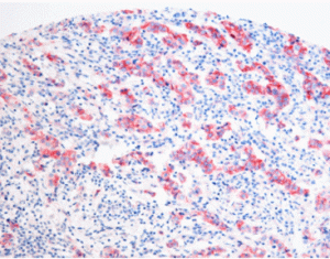
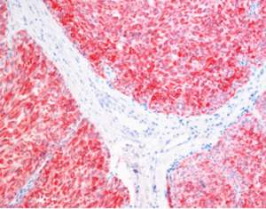
Basic dark stain reagent kit can be used for an alkaline phosphatase-labeled immunohistochemical detection system. When alkaline phosphatase reacts with this substrate solution, it can catalyze the substrate to produce dark red insoluble precipitates, which makes the positive expression in the tissue showed red to identify the results easily.
When utilizing this staining solution, samples should be sealed in the slice with water - based mounting medium.After the slice are dried, the secondary sealing can be sealed with neutral balsam to preserve the staining results for a long time.
|
Model Number |
Name |
Specification |
|
SD8007 |
Basic Dark Red Stain Reagent Kit |
10mL; 30mL |
Reagent A: Basic Dark Red Substrate
Reagent B: Substrate Buffer
a ) For paraffin tissue section, frozen section and cell smear
b) To be utilized alone and also for multicolor immunohistochemistry experiments.
c) Easy to operate and stable staining results
d) Bright staining results and clean background
e) For manual immunohistochemical staining experiments



