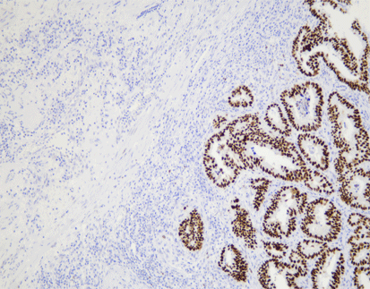
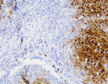
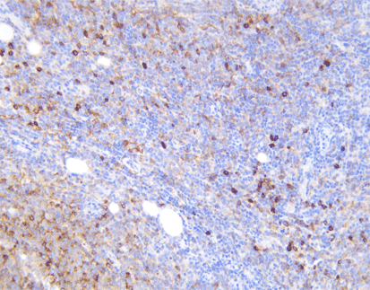
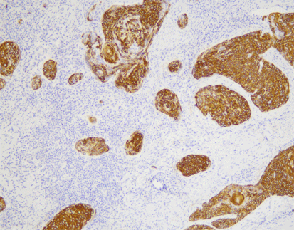
PRIMARY ANTIBODY

top