Other than routine haematoxylin and eosin stain, various special stains are now essential parts in routine laboratory works. Carbohydrates are the compounds that contain polyhydroxyaldehyde or polyhydroxyketone groups. They are represented by the common formula Cn(H2O)m. The carbohydrates can be classified depending on the number of subunits as monosaccharide, oligosaccharide and polysaccharide. They are also further classified depending on their binding with protein and lipid material.
Carbohydrate: one of commonly used stain for different substances
Stain:
• Periodic acid-Schiff (PAS)
• Alcian blue
• PAS and Alcian blue
• Mucicarmine
Staining of Different Carbohydrates
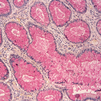
Periodic Acid-Schiff’s (PAS) Stain: PAS stain demonstrates neutral polysaccharides that are present in the basement membrane and also secretion of various glands in our body.
https://www.celnovte.com/periodic-acid-schiff-staining-solution-pas/
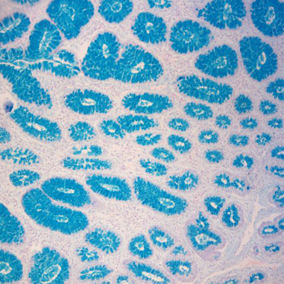
Alcian Blue: Alcian blue stains acid mucin (in acidic pH 2.5), such as sialomucin and sulphomucin. It stains mucin of the salivary glands, prostate and large intestine. Alcian blue also stains proteoglycans of cartilaginous material.
https://www.celnovte.com/alcian-blue-stain/
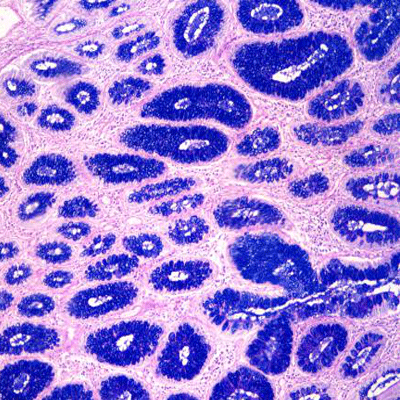
Combined PAS-Alcian Blue Staining: s Combined use of Alcian blue and PAS in a same section helps to demonstrate both acidic and neutral mucin in the same section. This is frequently applied in gastrointestinal biopsy sections.
https://www.celnovte.com/ab-pas-staining-solution/
Mucicarmine Stain:Mucicarmine stain is applied to demonstrate acid mucin in the malignant cells of adenocarcinoma. It also stains capsule of Cryptococcus.
https://www.celnovte.com/mucicarmine-staining-kit/
Contact us info@celnovte-bio-tech.com
Reference
Pranab Dey, Basic and Advanced Laboratory Techniques in Histopathology and Cytology (2018): 81-88




