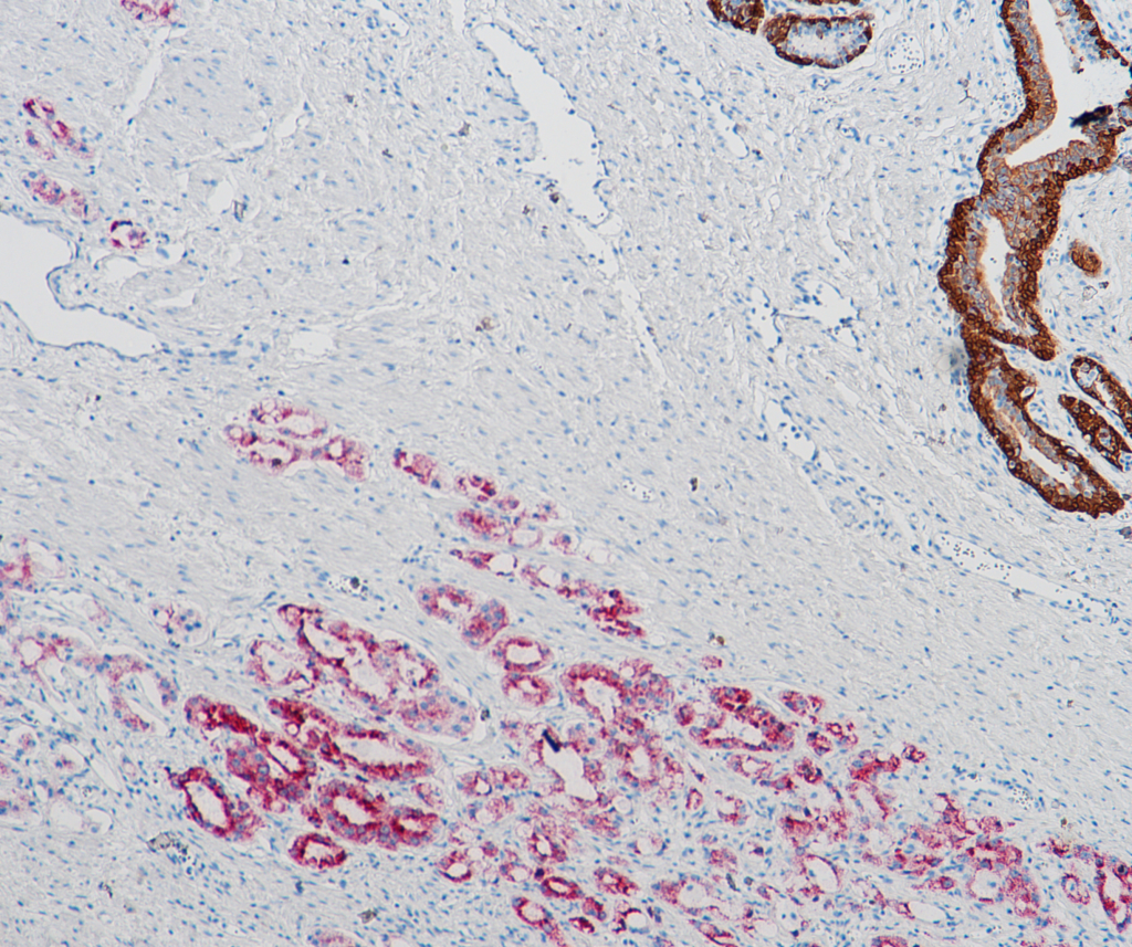
This kit is used for differential diagnosis of normal prostate, prostate intraepithelial neoplasia (PIN) and prostate cancer. It adopts immunohistochemical double staining detection technology and multiple antibody combination technology. By one staining process, three target antigens can be simultaneously detected on the same prostate lesion tissue section, namely 34βE12, p63 and AMACR.
34βE12 is a high molecular weight cytokeratin expressed in the basal cells of the benign prostate acinar.
a) For paraffin-embedded sections of prostatectomy and biopsy samples
b) Primary and secondary antibodies are cocktail mixed antibodies; less staining steps
c) Easy to operate, less steps, high efficiency and ecxellent stability
d) Sharp contrast for staining results; Clear background
e) For manual and automated immunohistochemical staining experiments
34βE12 & p63 Prostate Basal Cell
AMACR Prostate Cancer Cells

|
Model Number |
Name |
Specification |
|
SD8009 |
34βE12/P63/AMACR Detection Reagent Kit (Immunocytochemistry) |
10mL; 30mL |
Reagent A: Peroxidase Blocking
Reagent B: Mixed primary antibody
Reagent C: Mixed secondary antibody
Reagent D1: DAB substrate
Reagent D2: DAB buffer
Reagent E1: Fast Red Color Reagent
Reagent E2: Activator
Reagent E3: Fast Red Buffer
Reagent F: Hematoxylin